Technique direct-indirect
« Souriez car vos dents ne sont pas faites uniquement pour manger ou pour mordre » clamait Man Ray, cinéaste et photographe du Xxème siècle.
Les facettes dentaires peuvent être réalisées en céramique ou en composite. Cet article abordera la technique direct-indirect, ses indications et sa mise en œuvre.
FACETTES SANS PRÉPARATION
Les facettes sans préparation sont des facettes minces en composite d'une épaisseur de plus de 0,5 mm, utilisées pour modifier la couleur et/ou la forme des dents lorsque aucune préparation dentaire n'est nécessaire. Les facettes no-prep sont indiquées pour des divergences morphologiques mineures qui compromettent la proportion, la taille et le volume de la dentition naturelle. Les facettes no-prep sont le plus souvent utilisées dans les cas suivants : dents non décolorée sous-dimensionnées, hétéromorphisme ,le mauvais alignement ,abrasion/érosion de l'émail.
(A) and (B) Veneer without Preparation Classification.
FACETTES AVEC PRÉPARATION
Les facettes avec préparation sont requises lorsqu'il est nécessaire de créer un
espace pour le matériau composite, en particulier pour les dents décolorées lorsque
le composite doit masquer la décoloration. Dans la mesure du possible,
les préparations de facettes doivent être intra-émail pour favoriser une force d'adhérence élevée. Différents modèles de préparation de facettes ont été recommandés,l'accent étant mis sur deux conceptions principales : avec ou sans recouvrement.
1- La facette de type 1 avec préparation préserve le bord incisif' "window
préparation".
Les indications cliniques sont les suivantes : coloration extrêmement foncée à la tétracycline
la métamorphose calcifiante et la porphyrie érythropoïétique congénitale, entre autres, chez les patients présentant une overbite normal.
La quantité de réduction axiale dépendra du degré de décoloration, variant généralement de 1 à 1,5 mm. Tout comme pour la facette sans préparation, on utilisera ici un émail de corps et un émail de valeur,on utilise également un Dentin et un Opaquer également utilisés.le tiers incisif peut être aminci pour enlever pratiquement toute la dentine tout en laissant une coque palatine translucide en émail naturel.
2- La facette de type 2 avec préparation nécessite un chevauchement incisif.
recommandé lorsqu'un allongement incisif ou une modification anatomique du bord incisif est souhaitée.L'espace idéal nécessaire pour la stratification incisale
est d'au moins 2 mm. Pour les dents courtes qui doivent être allongées de
2 mm ou plus, aucune réduction incisale supplémentaire n'est nécessaire. Dans le cas d'une
occlusion normale, un biseau de 30 à 45° est suffisant pour créer un verrouillage macro- et micro-mécanique et obtenir une force adéquate.
Dans le cas d'une facette directe-indirecte, l'ordre d'utilisation de chacune des résines composites sélectionnées est le même que pour la facette directe, sauf pour ce qui est de l'opaquer et des teintes: dentine est la première couche, suivie de l'opaquer/des teintes, afin d'optimiser les forces d'adhésion.
Dans la technique directe-indirecte, le clinicien applique un composite photopolymérisé en utilisant les mêmes techniques de sélection et de stratification des teintes que pour la technique directe, sans aucune adhésion. Le composite est ensuite façonné pour obtenir une forme anatomique primaire avec un léger excès, puis il est photopolymérisé.Après cela, la restauration partiellement polymérisée est soigneusement retirée (soulevée) de la surface de la dent non rétentive,Après cela, la restauration partiellement polymérisée est soigneusement retirée (soulevée) de la surface de la dent non rétentive,et non collée, trempée à chaud extra-oralement au fauteuil, puis finie et polie jusqu'à la macro et micro anatomie finale.Après
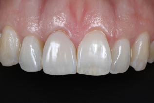
Après l'essayage de la teinte et la confirmation de l'ajustement général et de l'esthétique, la facette est collée à la surface de la dent.
les étapes :
1- choix des teintes : déterminer la teinte souhaitée
2-application de la résine composite : sculpture de restauration et empreinte marginale
3-photopolymérisation intra-orale: Polymérisation initiale
4-Favoriser l'ergonomie de la finition
5-la photopolymérisation extra-orale complémentaire : maximiser l'activation de la lumière / éviter le réchauffement de la pulpe
6-rempage à chaud : optimiser les propriétés physiques et biomécaniques
7-finition extra-orale et intra-orale : obtenir une anatomie et des marge idéales
8-polissage extraoral : obtention d'un aspect lisse et d'une brillance marginale
9-essai de teinte (pâtes d'essai) : moduler la teinte
10-lutage : intégrer la couleur et la forme
la technique directe- indirecte est plus confortable pour les patients, puisque de nombreuses étapes de restauration impliquant des instruments rotatifs sont réalisées en dehors de la bouche du patient.
recommandation :
- En règle générale, la dernière couche (émail du corps, émail de la valeur, ou les deux) doit être appliquée avec un léger excés. Cela facilite le retrait de la facette avant la finition extra-orale et le polissage.
- la préparation de la dent doit être correctement finie et polie pour faciliter le retrait de la facette après la polymérisation initiale et avant le traitement extra-buccal.
Le composite de teinte dentine est appliqué et photopolymérisé.Une fois la facette terminée et photopolymérisée par voie intra-orale, les excès du composite qui pourraient provoquer un blocage lors de la dépose doivent être éliminés. Une lame de scalpel n°12 peuvent être utilisés pour éliminer l'excès de résine lingual, en particulier autour des incisives.
A l'aide d'un excavateur,et une pression douce mais ferme doit être exercée mésiale et distale jusqu'à ce que la facette soit soigneusement retirée .
Cette image montre le retrait de la facette avant la photopolymérisation extra-orale et la trempe thermique.
la restauration est retirée de la dent, les marges imprimées doivent être soulignées avec un crayon rouge. Des disques d'oxyde d'aluminium sont utilisés successivement pour éliminer l'excès , et pour les bords pour obtenir le contour, la douceur et la brillance idéaux.
Les marges de la facette sont soulignées avant la finition et le polissage.
PHOTOPOLYMÉRISATION SUPPLÉMENTAIRE ET TEMPÉRAGE À LA CHALEUR
La facette finie est ensuite soumise à une photopolymérisation extra-orale supplémentaire et à une trempe thermique. Cette opération peut être réalisée à l'aide d'une unité de photopolymérisation à haute puissance installée au fauteuil ou d'un certain nombre d'autres méthodes de trempe thermique.
ESSAI DE TEINTE ET AGENT DE COLLAGE
L'un des plus grands avantages de la technique directe-indirecte est que
des changements de couleur mineurs peuvent être réalisés grâce à l'utilisation de
résines de collage de différentes teintes et degrés d'opacité.
Technique d'essayage par ombrage : Aucun changement de couleur important n'est possible si les teintes des composites sélectionnés sont totalement fausses et si le décalage est important.La caractéristique la plus importante d'une résine de collage est de moduler la valeur et la chroma, dans cet ordre. Après avoir confirmé le chemin d'insertion a facette est essayée à sec,
humide et, lorsqu'une opacité supplémentaire est nécessaire, avec des pâtes d'essayage opaques (fig17).
COLLAGE
Traitement de la facette :1- application d'acide phosphorique à 35-40% pendant 10 s (Figures 18 et 19)
2- Ensuite, on applique du silane (figure 20)
3- suivie d'une résine adhésive hydrophobe (Figure 21).
4- La restauration est mise à côté sous un écran de protection contre la lumière jusqu'à ce qu'elle soit collée. Si plusieurs facettes sont réalisées, elles doivent être organisées dans l'ordre où elles seront collées.
Application de l'acide phosphorique. Application du silane.Traitement de la surface de la dent
Les facettes avec préparation vont exposer une grande surface de dentine, en particulier pour les dents décolorées, et le protocole de collage sera donc considérablement plus complexe (Figure 22). Pour une facette sans préparation, la dent est attaquée à l'acide phosphorique (Figure 23), rincée, puis l'adhésif est appliqué (Figure 24).
Choix de l'adhésive
Un adhésif à trois étapes de mordançage et de rinçage est préférable pour le collage des facettes sans préparation car le mordançage de l'émail à l'acide phosphorique est très efficace.
Pour les facettes avec préparation
où la dentine et/ou la résine composite sont exposées, le choix de l'adhésif est beaucoup plus complexe et doit être adapté au type de restauration .La longévité de l'ensemble dent-restauration dépendant fortement de la qualité de l'adhésif.
Cet article n'a pas pour but de décrire en détail le protocole d'adhésion.Le lecteur est encouragé à lire Fahl & Ritter, 2020.12 .
Application de l'acide phophorique sur la dent.
Une fois que l'adhésif a été appliqué à la fois sur la facette et sur la dent, la facette est chargée avec le ciment de résine et mise en place (Figures 25 et 26).
LE POLISSAGE
Il doit englober les aspects faciaux et linguaux et promouvoir une surface lisse et brillante comme dans la réalité. dans le cas d'unités multiples. Des rotatifs en caoutchouc de différents niveaux d'abrasivité sont utilisés pour le polissage initial et sont suivis des pâtes à polir au diamant et à l'oxyde d'aluminium, et des disques de polissage. la marge sous-gingivale ne doit pas être touchée.



Comments
Post a Comment